Introduction: Non-Hodgkin lymphoma (NHL) represents a diverse group of malignancies arising from lymphocytes and lymphoid tissues. It encompasses multiple subtypes, including the aggressive diffuse large B-cell lymphoma (DLBCL), which is the most common type of NHL in adults. DLBCL typically presents as a rapidly growing mass in the lymph nodes or extranodal sites. While DLBCL can affect various regions of the body, its occurrence in the pelvic region is infrequent and poses unique diagnostic and therapeutic challenges.
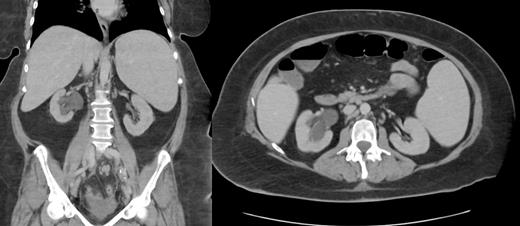
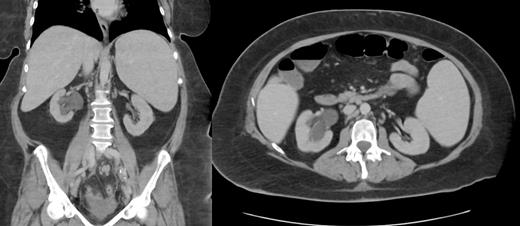
Case Description: We present a rare and intriguing case of a 51-year-old female admitted for acute on chronic microcytic anemia, with accompanying symptoms of decreased oral intake due to nausea, and vomiting, significant weight loss, night sweats, and lower quadrant abdominal pain. Additionally, she reported decreased urinary frequency, urgency. CT imaging of the abdomen and pelvis revealed a large soft tissue mass measuring 7.6 x 4.6 x 5.7 cm in the posterior right pelvic region, resulting in severe hydroureteronephrosis, along with bilateral iliac chain adenopathy, retroperitoneal lymph node enlargement, and severe splenomegaly. CT chest revealed several small lung nodules indicating distant metastasis. Additionally, the patient exhibited elevated levels of LDH, CA 199, and CRP, and decreased hemoglobin levels, indicating the presence of systemic disease. A CT-guided biopsy of the right pelvic mass confirmed the diagnosis of non-Hodgkin malignant lymphoma, specifically of the diffuse large B-cell type. Immunohistochemistry and flow cytometry demonstrated CD20 positivity in the proliferating large cells, consistent with DLBCL, and revealed a kappa-restricted B-cell population expressing CD19, CD20, and kappa surface immunoglobulin light chains. The PET scan showed prominent splenomegaly, adenopathy, and retroperitoneal involvement, corroborating the lymphoma diagnosis. The patient was discharged for outpatient follow-up with oncology with a treatment plan of R-CHOP (rituximab, cyclophosphamide, doxorubicin, vincristine, and prednisone) administered every 3 weeks, omitting rituximab during the first cycle.
Discussion: This case stands out due to the unusual presentation of a large DLBCL in the pelvic region, which is a relatively rare occurrence. The localization of DLBCL in the pelvis poses a diagnostic challenge, as symptoms may overlap with various other conditions. Moreover, the extensive involvement of the retroperitoneal lymph nodes and splenomegaly added complexity to the management of the disease. The rarity of DLBCL in the pelvis highlights the importance of considering lymphoma in the differential diagnosis of patients presenting with non-specific pelvic symptoms and acute anemia. Early recognition of such cases is crucial for timely intervention and optimal treatment planning. Understanding the immunophenotypic characteristics of the tumor is essential for tailoring effective therapeutic strategies. This unique case sheds light on the need for further research and evidence-based guidelines for managing NHL in uncommon anatomical locations, promoting better patient outcomes and quality of life.
Disclosures
No relevant conflicts of interest to declare.

This feature is available to Subscribers Only
Sign In or Create an Account Close Modal